Kompetenz für Niere und Rheuma
Nephrologie und Rheumatologie
Die Fachabteilung Nephrologie und Rheumatologie der Augustinum Klinik München bildet das gesamte Spektrum der Nephrologie sowie der Rheumatologie ab.
Die Fachabteilung Nephrologie bietet die stationäre und ambulante Versorgung sowie sämtliche Nierenersatzverfahren mit einer Dialysestation inklusive Bauchfelldialyse, interventionelle Verfahren wie Nierenbiopsie sowie die Sonographie der Nieren und Harnorgane. Ein Schwerpunkt sind kardiorenale Erkrankungen. Weiterhin ist bei erhöhtem Blutungsrisiko die transjuguläre Nierenbiopsie möglich. Ein besonderer Fokus liegt auf der Diagnostik und Therapie von Bluthochdruck und von Fettstoffwechselstörungen.
Die Fachabteilung Rheumatologie versorgt Patient*innen mit entzündlichen Gelenk- und Wirbelsäulenerkrankungen, Autoimmunerkrankungen wie Kollagenosen und Vaskulitiden sowie seltenen Erkrankungen. Ein besonderer Schwerpunkt liegt auf der Behandlung von Systemsklerose. Es besteht eine enge Zusammenarbeit mit den übrigen Fachabteilungen des Hauses, insbesondere der Pneumologie.
Probleme mit der Niere, den Gefäßen oder dem Stoffwechsel? Wir helfen Ihnen bei:
- Chronischer Niereninsuffizienz
- Glomerulonephritis
- Dialyse und Bauchfelldialyse
- Bluthochdruck
- Fettstoffwechselstörung
- Autoimmunerkrankung
- Kollagenose/Systemsklerose
- Vaskulitis
- Sarkoidose
Ihre Ansprechpartner in der Nephrologie und Rheumatologie

Privatdozent Dr. med. Klaus Thürmel
Chefarzt Nephrologie und Rheumatologie

Stationäre Aufnahme und Belegungsmanagement
Telefon: 089 7097-1694
Fax: 089 7097-1137
E-Mail: Nephrologie-Rheumatologie(at)med.augustinum.de

Aylin Resch
Chefarztsekretariat
Telefon: 089 7097-1694
Fax: 089 7097-1137
E-Mail: Nephrologie-Rheumatologie(at)med.augustinum.de

Dr. med. Lena Kreuzer
Oberärztin
Fachabteilung Nephrologie und Rheumatologie

Anmeldung in der nephrologischen/rheumatologischen Sprechstunde nach Vorlage von Befunden oder auf ärztliche Veranlassung:
E-Mail: Nephrologie-Rheumatologie(at)med.augustinum.de
Fax: 089 7097-1137
Zahlen - Daten - Fakten
0
Dialyseplätze
ca.0
Dialysen pro Jahr
Fragen und Antworten zur Nephrologie und Rheumatologie
Die Nieren regulieren nicht nur die Ausscheidung von Giftstoffen aus dem Körper, sondern sind auch an der Regulation von Blutdruck, Mineral- und Knochenhaushalt sowie an der Blutbildung beteiligt.
Erkrankungen der Niere verursachen häufig keine Schmerzen, trotzdem müssen sie behandelt und kontrolliert werden. Aufschluss über eine Nierenerkrankung geben verschiedene Laborwerte wie Blut- und Urinparameter sowie bildgebende Verfahren, z. B. die Ultraschalluntersuchung der Nieren. Manchmal kann auch eine Probeentnahme aus der Niere erforderlich sein, die unter lokaler Betäubung mit einer Nadel durchgeführt wird.
Überhöhte Blutdruckwerte sind ein wesentlicher Risikofaktor für Schlaganfälle und Erkrankungen der Gefäße einschließlich Herzkranzgefäße, aber auch für eine Verschlechterung der Nierenfunktion. Eine gute Einstellung des Blutdrucks kann Schlaganfälle und Herzinfarkte verhindern und die Funktion der Nieren voll erhalten. Gleiches gilt auch für eine gute Einstellung eines Diabetes und der Blutfettwerte.
Gerade für Dialysepatient*innen, die sich ihre Unabhängigkeit bewahren möchten, ist die Bauchfelldialyse eine Option. Hierzu müssen bestimmte Voraussetzungen erfüllt sein. Eine Bauchfelldialyse kann bei bestimmten Krankheitsbildern besonders sinnvoll sein.
Es gibt wenige rheumatische Erkrankungen, die geheilt werden können. Die meisten Erkrankungen sind chronisch und begleiten viele Patient*innen langfristig. Aus diesem Grund ist eine symptomlindernde Betreuung über einen langen Zeitraum erforderlich. Erfreulich ist, dass viele Erkrankungen heute wesentlich besser therapiert werden können als zu früheren Zeiten.
Cortison ist das Medikament, welches das Immunsystem am wirksamsten und am schnellsten hemmt. Es ist daher gut geeignet, um entzündliche Vorgänge schnell in den Griff zu kriegen. Cortison fungiert als eine Art medikamentöse Notbremse.
Es sollte aber immer in der niedrigstmöglichen Dosis und so kurz wie möglich gegeben werden. Dauergaben von Cortison sollten vermieden werden. Die Gabe von Cortison ohne eine klare Diagnose sollte nicht erfolgen.
Es werden alle Formen der Kollagenosen und anderer Autoimmunerkrankungen behandelt. Ein besonderer Schwerpunkt liegt auf Autoimmunerkrankungen, bei denen eine Beteiligung von Nieren, Lunge und Herz vorliegt, beispielsweise Granulomatose mit Polyangiitis (ehemals Morbus Wegener), Systemsklerose und Sarkoidose.
Eine optimierte Ernährung kann viel Gutes bewirken. Die richtige Auswahl gesundheitsfördernder Lebensmittel ist bei bestimmten Erkrankungen hilfreich, z. B. eine mediterrane Ernährung bei hohem Blutdruck oder Fettstoffwechselstörungen. Zusätzlich sollten schädliche Nahrungsmittel oder Bestandteile in bestimmten Situationen reduziert oder weggelassen werden, beispielsweise Kochsalz bei Bluthochdruck oder Nierenerkrankungen.
Patient*innen mit höhergradig eingeschränkter Nierenfunktion wiederum müssen auf die richtige Auswahl und Zubereitung von Gemüse und Obst achten oder phosphathaltige Lebensmittel vermeiden. Bei chronisch entzündlichen Prozessen kann eine mediterrane und vegetarisch orientierte Ernährung helfen, das Ausmaß der Entzündung zu begrenzen. In jedem Fall ist eine Beratung sinnvoll, die die individuelle Situation des Patienten oder der Patientin berücksichtigt.
Die enge interdisziplinäre Zusammenarbeit zwischen den Fachabteilungen ist ein besonderes Merkmal der Augustinum Klinik München. Im Bezug auf die Nephrologie und Rheumatologie kommt hier insbesondere der enge Austausch mit der Kardiologie und mit der Pneumologie zum Tragen, aber auch die enge Zusammenarbeit mit externen Kooperationspartnern.
Weiterführende Informationen
Wenn Sie mehr über Krankheitssymptome in den Bereichen der Nephrologie und der Rheumatologie wissen möchten, dann finden Sie hier weitere fundierte Informationen:
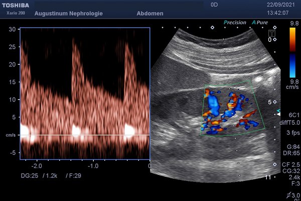
Bildgebung in der Nephrologie

Die Bildgebung nimmt in der Diagnostik von Nierenerkrankungen eine besondere Stellung ein. Hier steht am Anfang die Ultraschalluntersuchung mit Darstellung von Struktur, Durchblutung und Gefäßen der Nieren.
Die Ultraschalluntersuchung kann durch Kontrastmittel verbessert werden, welches im Wesentlichen aus kleinen Luftbläschen besteht und nicht schädlich für die Nieren ist.
Gelegentlich ist eine umfassendere Darstellung der Nieren und der ableitenden Harnwege erforderlich, die per Computertomographie (CT) oder Magnetresonanztomographie (MRT) durchgeführt wird.

Ob durch den Chefarzt persönlich oder die mich pflegende Krankenschwester: Ich habe mich zu jeder Zeit kompetent und zuvorkommend betreut gefühlt.
“Eine Patientin über ihren Aufenthalt in der Nephrologie der Augustinum Klinik
Zertifizierungen und Partnerschaften

Langjährige erfolgreiche Zusammenarbeit mit der Gefäßchirurgie des Klinikums Dritter Orden in München

Stationäre Versorgung unserer Patient*innen im Medizinischen Versorgungszentrum für Rheumatologie Dr. Welcker in Planegg


